A Guide to Clinical Differential Diagnosis of Oral Mucosal Lesions
Course Number: 110
Course Contents
Surface Debris White Lesions
Surface debris white lesions are associated with necrosis of the overlying epithelium. The necrotic epithelium can be removed with a gauze leaving an erythematous or ulcerated base. Surface debris lesions are usually painful.
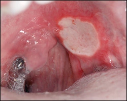
A burn of oral mucosa can be caused by heat or chemicals. It presents as a painful ulcer covered by a white to yellow surface. Often the patient can provide a history of burn to confirm the diagnosis. A burn will resolve spontaneously.
Candidosis (candidiasis)* is a common cause of oral discomfort. Predisposing factors include immunosuppression, antibiotic therapy, xerostomia and use of dentures. Oral lesions may appear as white plaques, which rub off leaving an erythematous base. Diffuse painful erythematous mucosa is another common presentation. A wide variety of topical and systemic antifungal agents are used for management.
Candidosis (candidiasis)
To view the Decision Tree for Oral Mucosal Lesions, click on one of the options shown.
To view the Decision Tree for Oral Mucosal Lesions, click on one of the options shown.



View Interactive
View as PDF
View as GIF